Accueil
Le cabinet
L'équipe
Accès/horaires
Fiches conseils
Nos vidéos
Contact
Prendre RDV
CABINET DENTAIRE GABRIEL PERI
Appeler
Localisation
64 avenue Gabriel Peri, 83220 Le Pradet
09 74 98 03 12
Accueil
Le cabinet
L'équipe
Accès/horaires
Fiches conseils
Nos vidéos
Contact
Prendre RDV
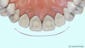
Fil de contention
Vidéos 3D
Partager
Twitter
Partager
Partager
Envoyer
Copier
CABINET DENTAIRE GABRIEL PERI
64 avenue Gabriel Peri
83220
Le Pradet
09 74 98 03 12
Politique de confidentialité et charte cookie
Mentions légales
Conditions Générales Utilisation
Création par
Connexion
Prendre rendez-vous